Die ganzheitliche, naturheilkundliche Schilddrüsentherapie nach Dr. Berndt Rieger
Die Schilddrüsen Sprechstunde mit dem Schilddrüsen Ultraschall
ganzheitliche, naturheilkundliche Schilddrüsen Therapie bei Schilddrüsen - Unter - oder Überfunktion, Hashimoto Thyreoiditis und Morbus Basedow
Wie läuft eine Schilddrüsensprechstunde ab?
Der Vorbereitungsbogen und Ihre Unterlagen
Sie messen vor unserem Termin mit einem digitalen Fieberthermometer 4 x täglich - an 3 hinter einander folgenden Tagen die Körpertemperatur unter der Zunge - zu den Zeiten, die auf dem Bogen oben bei der Tabelle stehen.
Bitte kreuzen Sie auch Ihre momentanen Befindlichkeiten auf dem Bogen an.
Den sorgfältig ausgefüllten Vorbereitungsbogen und Ihr aktuelles Blutbild bringen Sie dann bitte zu unserem Termin mit.
Anamnese und Behandlung
Es erfolgt dann:
- die ausführliche Besprechung
- die Befund Erhebung
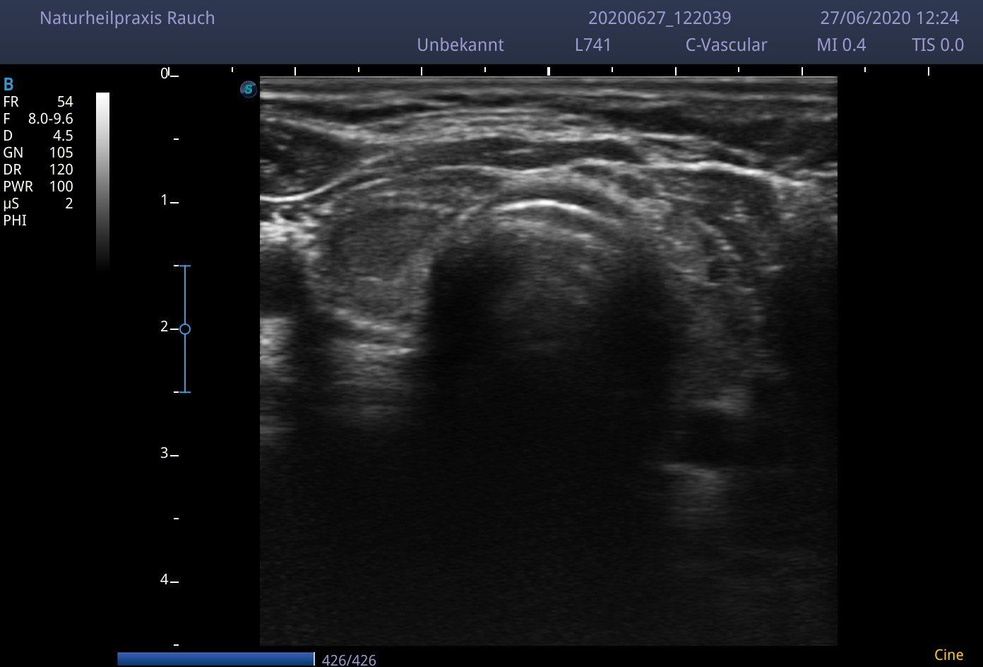
- der Schilddrüsen Ultraschall
- die osteopathische Behandlung der Halswirbelsäule
- und natürlich der Therapieplan mit der Verordnung - falls nötig.
Der Schilddrüsen Ultraschall und Ihre Körpertemperatur sind die wichtigsten Marker, für eine aussagekräftige Befundung Ihrer Schilddrüse. Sie zeigen Veränderungen des Schilddrüsengewebes bereits in einem sehr frühen Stadium an, wo das Blutbild noch keinerlei Veränderung sichtbar machen kann.
Ihre Mitarbeit ist wichtig und entscheidet über den Erfolg
Sie bekommen von mir Hausaufgaben - wie z.B. Halswickel oder die sanfte Massage Ihrer Schilddrüse - um den Heilungsverlauf Ihrer Schilddrüse zu unterstützen. Dieses Mitwirken Zuhause ist dann genauso wichtig, wie unser aufgestellter Therapieplan.
Download
Ein kleiner Tipp...
Falls Sie einen längeren Anfahrtsweg haben, wäre ein Doppeltermin, bestehend aus der Schilddrüsensprechstunde und gleich anschließender Schilddrüsen Massage sehr vorteilhaft.
WICHTIG für Beihilfe - berechtigte -Patienten!
Beihilfe muss das Schilddrüsen Extrakt erstatten - das Gerichtsurteil können sie unter dem angegebeben Link aufrufen und lesen.
https://www.gesetze-bayern.de/Content/Document/Y-300-Z-BECKRS-B-2021-N-4109?hl=true
Hashimoto - der Schub
Kommt Ihnen das bekannt vor?
Müde, erschöpft, Gewichtszunahme, Darmprobleme, Frieren, Grippesymptome, Halsschmerzen, weinerlich, antriebslos, zu nichts mehr Lust, Watte im Kopf, Vergesslichkeit, Hitze im Körper, Ängste/Panik, Konzentrationsschwäche, Schlafstörungen, Herzrasen, innere Unruhe, Kopfschmerzen, Ungeduld, Heißhunger, Druck in der Kehle
Die Schilddrüse ist, zusammen mit dem Herz, unser wichtigster "Motor" des Körpers. Ist sie krank, leidet der ganze Mensch darunter. Umso wichtiger ist es, ganzheitlich hinter die Thematik der Schilddrüse zu schauen.
Gemeinsam finden wir den richtigen Weg, mit Schulmedizin und Naturheilkunde Hand in Hand, damit es Ihnen bald wieder besser geht. Viele Ärzte sind mittlerweile sehr aufgeschlossen, die Behandlung mit bioidentischen Hormonen zu unterstützen.
Im Moment hört man immer öfters: Ich hab Hashimoto...
Ich selbst gehöre seit März 2017 auch zu den Betroffenen - aber mir geht es gut. Ich habe an mir selber viel Therapiearbeit geleistet und weiß daher, um was es geht. Sie brauchen dazu einen guten Arzt und einen guten Naturheilkundler, der mit Ihnen zeitgleich die "Nebenkriegsschauplätze" behandelt:
- Darm
- Vitalstoffe
- Immunsystem
- Mitochondrien (Brennzellen des Körpers)
- Nebennieren
- Hormonachsen
- Schilddrüse
- Lebensumstände - ja, auch die spielen dabei eine große Rolle.
Aber was ist Hashimoto überhaupt?
Hashimoto - der eigene Angriff auf den Schmetterling...
Die Autoimmun Thyreoditis, wie der Hashimoto medizinisch genannt wird, ist primär keine Erkrankung der Schilddrüse, sondern eine Erkrankung des Immunsystems. Hierbei behandelt das Immunsystem die Schilddrüse wie einen Feind – greift an und will den Schmetterling zerstören. Die Gründe dafür sind nicht wirklich greifbar. Es kann familiär bedingt sein, ein verschleppter Virusinfekt oder einfach ein einschneidendes, traumatisches Erlebnis, das die Betroffenen „aus der Bahn“ wirft.
Festgestellt wird die Erkrankung über das Blutbild, mit erhöhtem TSH, erhöhten Antikörpern, schlechten FT3 und FT4 Werten – und meist total entgleistem Stoffwechsel.
Die Symptome sind sehr vielfältig und völlig unkontrollierbar, da die Schilddrüse gerade am Anfang der Erkrankung plötzlich von der Überfunktion in die Unterfunktion springt-und das durchaus mehrmals am Tag.
Dieser „Schub“, wie er in der Medizin genannt wird, verlangt dem Körper alles ab, holt die letzten Reserven an guten Baustoffen, wie Vitaminen, Mineralstoffen und Spurenelementen aus den Zellen, schädigt die Darmschleimhaut, bringt die Nebennieren mit dem Cortisol in die Erschöpfung. Der Stoffwechsel entgleist. Die Betroffenen sind irgendwann völlig am Ende ihrer Kräfte.
Das Umfeld reagiert oft mit Unverständnis, denn man sieht ja nichts. „Stell Dich nicht so an, schlaf halt mehr, das wird schon wieder.....
WIRD ES NICHT.
Und genau hier setzt die Naturheilkunde an. Die verordneten Hormone, meistens L Thyroxin, sind nur der „Rollator“ der Schilddrüse, sie helfen dabei, die Hormonproduktion wieder anzukurbeln – aber sie heilen keinen Hashimoto! Oftmals werden sie bei der Hashimoto Thyreoiditis schlecht vertragen.
Es müssen auch die „Nebenkriegsschauplätze“ mit behandelt werden, damit der Stoffwechsel, alle Hormonachsen und das Immunsystem wieder miteinander arbeiten können. Das Wichtigste dabei ist hier eine gut eingestellte Schilddrüse.
Bei mir wurde im Jahr 2017 die Hashimoto Thyreoiditis festgestellt und ich substituiere das vom Arzt verordnete, natürliche Schweineschilddrüsenextrakt NDT, es hat nahezu den gleichen "Bauplan" wie unsere Schilddrüse. Ich bin damit völlig symptomfrei und top fit!
Berührung setzt Emotionen frei -
bei der Schilddrüsenmassage



